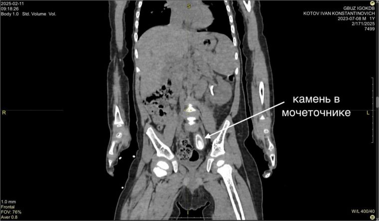
Камень в 3 см удалили из мочеточника маленького жителя Усть-Кута

Сложную операцию провел знаменитый на весь мир иркутский хирург, главный врач Иркутской областной детской клинической больницы Юрий Козлов.

post-22771 thumbnail
  • 12:05
  • 27.03.2025
  • ОбществоУсть-Кут
  • 0
  • 658

Первые признаки заболевания жительница Усть-Кута обнаружила у сына Вани еще в декабре прошлого года. На обследовании в Иркутске поставили диагноз — большой камень в нижней трети левого мочеточника размером около 3 на 1,5 см и вызванный им блок почки.

Размер камня удивил медиков — это нетипично для таких маленьких пациентов.

— Попытка внутрипросветного лечения была безуспешна — устье мочеточника не пропускало даже самую маленькую оптическую систему цистоскопа. После месяца непростого лечения с использованием нескольких антибиотиков была выполнена операция с применением нашего излюбленного подхода без разрезов — лапароскопии, — рассказывает Юрий Козлов.

Операция прошла успешно, и сегодня Ваня чувствует себя прекрасно.

Администрация УКМО

Данное сообщение (материал) создано и (или) распространено некоммерческими организациями и (или) средствами массовой информации, требующими полной отмены законодательства об иностранных агентах

Вы сможете добавить комментарий после авторизации

Присоединяйтесь! Мы в социальных сетях:

Вам также может быть интересно:

post-33024 thumbnail

#Топ новостьАнонсКриминалОбществоУсть-Кут

В Усть-Куте появился подростковый буллинговый канал. Родителям учеников лучше промониторить его и принять меры

Канал в телеграмм "ПОЗОР УК", в котором админы размещают подростковый буллинг, за день набрал более 1500 подписчиков Жесткий буллинг подростков и запрещенный откровенный контент, без стеснения размещают в этом канале с согласия админов. Кроме того, что размещают фотографии откровенного детского порнографического характера, сами участники выставляют свои фото и видео, где снимают свое девиантное поведение. Большинство контента из Старого Усть-Кута и Кирзаводда, так что можно предположить, что это ученики 1, 3 и 8 школ. Родителям подростков именно из этих школ, стоит обратить внимание на активность в сети своих чад. Мы отправим правоохранителям данные админов и призываем всех, пожаловаться на канал в приложении. Если жалоб будет много, Телеграмм забанит канал и удалит его контент. Подростковый буллинг, один из самых жестких и опасных для психики детей. Нельзя позволять разгонять такую информацию в сети и нужно с этим бороться, так как там кроме просто фоток, присутствует еще и детское порно и гомосексуальные контент. Надеемся, что правоохранители правильно среагируют на эту информацию. Ариэль Эмет Специально для «УК24» фото : из открытых источников Канал в Телеграмм Наш Инстаграм Страничка в Одноклассник  
2365
0
04.12.2025 в 09:07
post-31974 thumbnail

#Топ новостьВойна с УкраинойУсть-Кут

Список погибших в Украине жителей Усть-Кута на 01 декабря 2025 год

Продолжаем ежемесячную публикацию списков погибших в Украине жителей нашего района, а так же сведений о пропавших без вести. Будем обновлять эти данные раз в месяц. Жирным шрифтом и курсором будут выделять фамилии вновь добавлены Военнослужащие заключившие контракт с Министерством обороны России:
  1. Бакулин Сергей Александрович
  2. Олейников Павел Сергеевич
  3. Степанов Владимир Владимирович
  4. Файдуков Илья Александрович 2001 г.р.
  5. Тимкин Иван Валерьевич 1985 г.р.
  6. Дядькин Андрей Владимирович 1975 г.р.
  7. Железняк Олег Степанович 1973 г.р.
  8. Цыба Алексей Александрович 2001 г.р.
  9. Харитонов Анатолий Сергеевич 1979 г.р.
  10. Шестаков Александр Викторович 1991 г.р.
  11. Габелая Заза Зазавич 2001 г.р.
  12. Рыбаков Владислав Игоревич 2001  г.р.
  13. Мартюшов Владимир Николаевич 2000 г.р.
  14. Саклаков Петр Сергеевич 1990 г.р.
  15. Белянин Вячеслав Юрьевич 1975 г.р.
  16. Ветошкин Александр Геннадьевич 1982 г.р.
  17. Давыдов Сергей Викторович 1969 г.р.
  18. Новокрещеной Алексей Викторович 1995 г.р.
  19. Гончаров Виктор 1994 г.р.
  20. Кононенко Александр Николаевич
  21. Злобин Анатолий Алексеевич 1989 г.р.
  22. Таюрский Богдан 1999 г.р.
  23. Салтыков Максим Игоревич 2002 г.р.
  24. Шевченко Андрей Александрович 1998 г.р..
  25. Купчин Алексей Юрьевич 1986 г.р.
  26. Власов Игорь Владимирович 1991 г.р.
  27. Суров Никита Александрович 1999 г.р.
  28. Тумаков Алексей Александрович 1979 г.р.
  29. Ермилов Александр Владимирович 1967 г.р.
  30. Силкин Артем Андреевич 1994 г.р.
  31. Ошурков Антон Васильевич 1994 г.р.
  32. Петухаев Геннадий Юрьевич 1975 г.р.
  33. Соболевский Степан Андреевич 1993 г.р.
  34. Паплюга Вячеслав Михайлович 1975 г.р.
  35. Мошкин Евгений Юрьевич 1977 г.р.
  36. Шага Анатолий Анатольевич 1981 г.р.
  37. Салахов Арсен Абдуламидович 1969 г.р.
  38. Сипко Александр Валерьевич 1985 г.р.
  39. Раков Вадим Михайлович 1993 г.р.
  40. Фридман Александр Артурович 2001 г.р.
  41. Перфильев Алексей Юрьевич 1980 г.р.
  42. Салюк Никита Геннадьевич 1991 г.р.
  43. Учеваткин Георгий Иннокентьевич 1987 г.р.
  44. Гилястин Рустам Викторович 1977 г.р.
  45. Егоров Василий Александрович 1993 г.р.
  46. Суханов Виталий Сергеевич 1988 г.р.
  47. Таюрский Иван Алексеевич 1978 г.р.
  48. Воротила Артем Николаевич 1982 г.р.
  49. Куклин Владимир Александрович 1987 г.р.
  50. Колесников Дмитрий Петрович 2000 г.р.
  51. Хрулев Александр Анатольевич 1973 г.р.
  52. Москвичев Александр Сергеевич 1993 г.р.
  53. Савичев Дмитрий Николаевич 1991 г.р.
  54. Шкребтиенко Даниил Михайлович 2002 г.р.
  55. Горячев Александр Александрович 1987 г.р.
  56. Караулов Кирилл Александрович 1994 г.р.
  57. Кузин Илья Михайлович 1992 г.р.
  58. Летягин Николай Владимирович 1974 г. р
  59. Ненаших Алексей Викторович 1983 г.р.
  60. Плаксин Владимир  Олегович1994 г.р.
  61. Загибов Ильдус Насихович 1984 г.р.
  62. Николаев Роман Николаевич 1999 г.р.
  63. Раздобреев Геннадий
  64. Куплено Виктор Александрович 1981 г.р.
  65. Саушин Виктор Юрьевич  1990 г.р.
  66. Таюрский Евгений Иннокентьевич 1988 г.р.
  67. Спиридонов Антон Сергеевич 1989 г.р.
  68. Порохоов Денис Евгеньевич 2000 г.р.
  69. Кочетков Алексей Леонидович 1980 г.р.
  70. Пуляевский Василий Валерьевич 1983 г.р.
  71. Марчел Скынтей Емануилович 1972 г.р.
  72. Зубов Юрий Юрьевич  1979 г.р.
  73. Колесниченко Андрей Вячеславович 1968 г.р.
  74.  Ходырев 1Игорь Валерьевич 1970 г.р.
  75. Власов Игорь 1991 г.р.
  76. Серов Андрей Владимирович 1988 г.р.
  77. Силкин Семен 1994 г.р.
  78. Шатаев Станислав Русланович 1993 г.р.
  79. Ушаков Максим Олегович 2003 г.р.
  80. Хвостов Евгений Владимирович 1979 г.р.
  81. Гордиевский Максим Сергеевич 1987 г.р.
  82. Лапин Валерий Владимирович 1973 г.р.
  83. Морозов Юрий Васильевич 1997 г.р.
  84. Мордовкин Алексей Андреевич 1989 г. р.
  85. Темников Иван Александрович 2003 г. р.
  86. Головин Сергей Витальевич 1972 г.р.
  87. Кузнецов Евгений Михайлович 1973 г.р.
  88. Концедалов Сергей Юрьевич 1979 г.р.
  89. Блинов Юрий Львович 1972 г.р.
  90. Хорунжий Руслан Николаевич 1981 г.р.
  91. Могилин Юрий Иванович 1968 г.р.
  92. Заруднев Михаил Валерьевич 
  93. Александр Найфер 1996 г.р.
  94. Однокурцев Павел Сергеевич 2001 г.р.
  95. Ненашев Алексадр Александрович 1981 г.р.
Мобилизованные из запаса военнослужащие:
  1. Кулаков Алексей Витальевич
  2. Могилевич Руслан Георгиевич
  3. Пакулько Виктор Васильевич
  4. Сажин Вячеслав Валерьевич 1990 г.р,
  5. Козельский Денис Геннадьевич 1981 г.р.
  6. Левицкий Григорий Вячеславович 1986 г.р.
  7. Фомин Алексей Романович 1994 г.р.
  8. Морозов Никита Александрович 1996 г.р.
  9. Баскумбаев Алексей Молдабекович 1978 г.р.
  10. Зырянов Алексей Раисович 1977 г.р.
  11. Шендрик Роман Валентинович 1979 г.р.
  12. Бриченко Андрей Александрович 1982 г.р.
  13. Хохлов Игорь Сергеевич 1999 г.р.
  14. Крамник Сергей Владимирович 1983 г.р.
  15. Иванов Алексей Николавевич 1986 г.р.
  16. Толстиков Вячеслав Леонидович 1994 г.р.
  17. Антипин Иван Андреевич 1983 г.р.
  18.  Шутов  Сергей Евгеньевич 2000 г.р.
  19. Барахтенко Олег Иванович 1978 г.р.
  20. Мелентьев Павел Викторович 1984 г.р.
  21. Белозерцев Никита Павлович 1989 г.р.
  22.  Корнейчук Валерий Александрович 1978 г.р.
  23. Антипин Алексей Александрович 1989 г.р.
  24. Лобынцев Сергей Владимирович 1980 г.р.
  25. Ефимов Владимир Александрович 1983 г.р.
  26. Шамкин Виталий Михайлович 1980 г.р.
  27. Зверев Роман Александрович 1977 г.р.
  28. Лютиков Евгений Сергеевич 1989 г.р.
  29. Бабин Евгений Борисович 1992 г.р.
  30. Антипин Алексей Геннадьевич 1982 г.р.
  31. Скуратов Константин Федорович 1974 г.р.
  32. Дроздов Валерий Юрьевич 1995 г.р.
  33. Быков Михаил Александрович 1980 г.р.
  34. Чугунов Антон Геннадьевич 1985 г.р.
  35. Мананков Олег Сергеевич 1978 г.р.
  36. Дубовик Сергей Владимирович 1975 г.р.
  37. Коркин Владимир Валерьевич 1983 г.р.
  38. Григорьев Валерий Валерьевич 1984 г.р.
  39. Крамаренко Сергей Юрьевич 1981 г.р.
  40. Бударин Александр Игоревич 1990 г.р.
  41. Красноштанов Роман Евгеньевич 1990 г.р.
  42. Лунегов Сергей Павлович
  43. Червиевский Денис Григорьевич 1987 г.р
  44. Смертеев Семен  Петрович 1990 г.р.
  45. Солодов Александр Анатольевич 1983 г.р.
  46. Гриднев Денис Сергеевич 1978 г.р.
  47. Таюрский Александр Викторович 1975 г.р.
  48. Семидельский Владимир Николаевич 1978 г.р.
  49. Слепцов Александр Сергеевич 1986 г.р.
  50. Вилков Андрей Иванович 1988 г.р.
  51. Дудник Сергей Александрович
  52. Кошкарев Максим Павлович 1978 г.р.
  53. Назаров Денис Александрович 1993г.р.
  54. Чупров Александр Сергеевич 1989 г.р.
  55. Липских Александр Георгиевич 1978 г.р.
  56. Тирский Денис Михайлович 1971 г.р.
Наемники, заключившие контракт с ЧВК Вагнер:
  1. Барахоев Леонид Иннокентьевич
  2. Бушмакин Максим Сергеевич
Заключенные, завербованные ЧВК Вагнер из колоний ФСИН:
  1. Архипов Сергей Александрович
  2. Вейс Владимир Владимирович
  3. Ермилов Александр Сергеевич
  4. Курбанов Сенан Камран оглы
  5. Потапов Вадим Сергеевич
  6. Старцев Алексей Олегович
  7. Степанов Евгений Александрович 1986 г.р.
  8. Таюрский Алексей Геннадьевич
  9. Хартиков Дмитрий Владимирович 1981 г.р.
  10. Колесов Денис Андреевич 1998 г.р.
  11. Геннадий Гербольд 1978 г.р.
  12. Трусков Алексей Анатольевич
  13. Метрус Руслан Сергеевич 1984 г.р.
Заключенные, завербованные из колоний ФСИН в «Шторм-Z»:
  1. Сафронов Михаил Сергеевич 1985 г.р.
  2. Бурундуков Владимир Андреевич 2001 г.р.
  3. Кардаев Рахман Магомедович 1982 г.р.
  4. Горячкин Владимир Андреевич 1987 г.р.
  5. Тихонов Александр Павлович 1987 г.р.
  6. Хайсаров Олег Владимирович 1999 г.р.
Итого на сегодняшний день документально зафиксирована гибель 172 жителей Усть-Кутского района, во время боевых действий на территории Украины. К сожалению, это не полный список погибших и редакция располагает данными еще на 4 жителей нашего района, которые числятся пропавшими без вести. Плюс нет никаких данных  о многих заключенных из ФСИН, завербованных в Шторм-Z  и убывших в подразделения. Где они сейчас неизвестно, но есть большая вероятность, что они погибли и их тела находятся в распоряжении украинской стороны. Мы по своим каналам пытаемся выяснить судьбу всех пропавших без вести устькутян и делаем запросы в официальные органы Украины по каналам коммуникации с волонтерскими структурами и через Красный Крест в Польше. Вполне возможно, что некоторые из пропавших без вести живы и находятся в плену или госпиталях для военнопленных. Напомним, что из Усть-Кута было мобилизовано 238 военнослужащих запаса в сентябре 2022 года, из низ 43 человека ушли добровольцами. Еще 100 человек из Усть-Кута, заключили контракт с Минобороны, по состоянию на 01.01.2025 года Команда «УК24» PS. Если у вас есть информация о погибших устькутянах не указанных у нас в списке, можете написать нам на почту centr_for_ca@mail.ru  и проверив информацию мы пополним список PSS. Редакция «Усть-Кут24» не поддерживает войну с Украиной и считает ее не справедливой и откровенно колониальной. Должностные лица России развязавшие войну, должны предстать перед судом и понести наказание    
2137
0
01.12.2025 в 09:03
post-32881 thumbnail

#Топ новостьКриминалПроисшествияУсть-Кут

Наркозакладчик из Усть-Кута раздеанонен в сети

Еще один житель нашего города промышлявший закладкой наркотиков, стал известен благодаря внутреннему конфликту в стаде наркобарыг Житель Усть-Кута Сергей Псенко, оказывается до недавнего времени работал наркозакладчиком в одном из маркетплейсов, продающих наркоту. Судя по всему Сергей Юрьевич оказался не очень ответственным и честным  работником, к которому у маркетплейса появились вопросы. Правда разрешить их криминальный магазин хочет не с помощью Трудового Кодекса Российской Федерации, а иными способами, которые навряд ли понравятся наркозакладчику Пасенко. Среди предполагаемых суровых мер взыскания у маркетплейса, есть предложение спортикам изнасиловать бывшего работника Пасенко или лишить его одного из частей тела, путем отрезания ножом. Даже не сомневаемся, что за деньги найдутся люди, которые готовы воплотить  все желания маркетплейса в жизнь и заснять все это на видео. Мы кстати, скоро напишем персонально о гадах-спортиках из нашего города, которые зарабатывают на жизнь именно таким способом. Так же мы надеемся, что закладчик Пасенко успеет добежать до полиции и начать деятельное сотрудничество с правоохранителями, рассказывая о своих криминальных бизнес-партнерах. В противном случае его ждет печальная участь остаться без пальца или присесть на бутылку. Другого варианта у него нет и если вы его где-то увидите в городе и у него будут на руках все пальцы, то порядочным людям лучше  не полоскаться с ним из одной посуды. Так же призываем всех будущих наркозакладчиков, сто раз подумать перед тем, как идти в этот криминальный бизнес. Вы с вероятностью 90% попадетесь либо ловцам закладчиков, либо полиции. В любом случае кроме позора, вы еще обретете кучу финансовых проблем и серьезные репутационные потери. Ариэль Эмет Специально для «УК24» фото : из Даркнета Канал в Телеграмм Наш Инстаграм Страничка в Одноклассник  
1022
0
30.11.2025 в 07:32
post-32854 thumbnail

#Топ новостьКриминалПроисшествияУсть-Кут

В Усть-Куте эвакуировали школу после звонка о минировании

После сообщения о минировании школы, на место прибыли сотрудники спецслужб, полиции, МЧС и медики Вчера днем директору Восьмой школы  позвонили неизвестные и сообщили, что учебное заведение заминировано. После этого из здания эвакуировали всех в нем находившихся, а специальные службы провели проверку на наличие внутри школы взрывчатых устройств. Пока нет данных кто сообщил о заложенной в школе бомбе, но судя по всему это фейковые данные. Тем не менее, такие звонки попадают под уголовную ответственность и практически во всех подобных случаях, правоохранители находят тех, кто звонил. Ариэль Эмет Специально для «УК24» фото : из открытых источников Канал в Телеграмм Наш Инстаграм Страничка в Одноклассник  
1523
0
29.11.2025 в 09:09